中国数字科技馆
2025-08-31 本站作者 【 字体:大 中 小 】
主承办
主办单位:中国科学技术协会
承办单位:中国科学技术馆
协办单位:中国机械工程学会
支持单位:北京太尔时代科技有限公司
展览地点
中国科技馆常设展厅三层西环廊
卷首语
你的打印机能“打印”出一幢漂亮的房子吗?你的打印机能打出一个精细的人工心脏瓣膜吗?你的打印机能打印出你自己设计的创意笔筒吗?现在,这些问题都得到了肯定的答复,这一切都源于一项重大技术革命——3D打印技术。
3D打印技术是一个很有潜力的产业,在航空航天业、汽车工业、现代制造业、医学和生物工业技术等领域,它都蕴含着很大的发展空间,同时在个人消费品领域里涉及个性化创意的应用以及数量较大的生活用品制造方面,它也有着良好的发展前景。
中国科技馆将为广大观众提供一个窗口,让所有关心3D打印技术的人们增加对3D打印的感性认识,让新技术走入千家万户,让更多地观众能够在中国科技馆了解我国最前沿最尖端的科学技术发展,真正感受科技的魅力。
欢迎走入3D打印的世界!
一、什么是3D打印
1、何为3D打印?
3D打印又称增材制造技术,是依据CAD设计数据,采用离散材料(液体、粉末、丝片、板、块等)逐层累加制造实体零件的技术。
2、3D打印详解

3、3D打印机的发展史
1) 1984年美国人Charles Hull 发明3D打印。1986 年成立3D Systems 的公司。1987 年,3D Systems 开始生产第一台 3D 打印机 SLA250。

2) 1991年,三项快速成形制造技术投入商业生产,它们分别是Stratasys公司的熔融沉积制造(FDM)技术、Cubital公司的立体固化技术(SGC)和Helisys公司的分层实体制造(LOM)技术。

FDM发明者Scott Crump
3) 1996年,美国Z Corp公司基于麻省理工学院的3维喷墨打印技术,研制出了3D打印机Z402号。

4) 2005年市场上首个高清晰彩色3D打印机Spectrum Z510由Z Corp研制成功。这款3D打印机能够进行高分辨率彩色3D产品的打印。

5) 2005年,英国巴恩大学的Adrian Bowyer发起了开源3D打印机项目RepRap,目标是通过3D打印机本身,打印出另一台3D打印机。2008年,第—个基于RepRap的3D打印机发布,代号为“Darwin”,它能够打印自身50%元件。

6) 2010年11月,第一台用3D打印机打印出整个身躯的轿车出现,它的所有外部组件都由3D打印制作完成。

4、3D打印的基本原理


5、3D打印技术方法一
1) 熔融沉积制造(FDM)
熔融沉积制造(FDM)又称为熔丝沉积制造等。该方法利用电加法等热源熔化丝状材料,由三轴控制系统移动熔丝材料,逐层堆积成形三维实体,工艺过程如下图所示。


2) 分层实体制造(LOM)
分层实体制造(LOM)也称薄材叠层制造等。利用激光或刀具切割薄层纸、塑料薄膜、金属薄板或陶瓷薄片等片材,通过热压或其他形式层层粘接,叠加获得三维实体零件,工艺工程如下图所示。

3) 激光选区烧结(SLS)
激光选区烧结(SLS)也叫选择性激光烧结、选区激光烧结等。利用高能激光束的热效应使粉末材料软化或熔化,粘接成形一系列薄层,并逐层叠加获得三维实体零件,工艺过程如下图所示。

6、3D打印技术方法二
1) 激光选区熔化(SLM)
激光选区熔化(SLM)的工作方式与激光选区烧结类似。该工艺利用光斑直径仅为100μm以内的高能束激光,直接熔化金属或合金粉末,层层选区熔化与堆积,最终成行具有冶金结合、组织致密的金属零件,工艺过程如下图所示。

2) 光固化成形(SLA)
光固化成形(SLA)其原理是利用紫外激光固化对紫外光非常敏感的液态树脂材料(性能类似于塑料)予以成形,工艺过程如下图所示。

3) 立体喷印(3DP)
立体喷印(3DP)是一种利用微滴喷射技术的增材制造方法,过程类似于打印机,其工艺过程如下图。

二、3D打印的应用
1、教育产业
美国、英国政府最近宣布将在教育行业大面积推广3D打印技术。3D打印应用到教育行业之后,学生们将有机会将自己的设计变为实物交给老师或进行讨论研究,打印出来的原型物品也将更直观地帮助他们进一步改善作品。


图为圣海伦火山3D打印模型

MakerBot资助K-12学校的教师建立了创新课程计划。在佛罗里达州的四五年级教室里,学生自己设计产品。

学生在生物课堂打印的DNA双螺旋模型

学生利用网络上的地形图,自行进行特定地点的3D地形打印
1994年,清华大学就采用中科院遥感所的地球3D数据,将地球仪表面的高程差数据按比例扩大,在分层实体制造(LOM)设备上制造具有各种地形的三维地球形貌的地球仪。

2、远古生物模型
据美国国家地理网站报道,借助3D打印技术,一只生活在3.9亿年前的软体动物近日展现在人们眼前。

3、数学立体模型
利用3D打印技术获得数学模型对于学生们更好地认识这些造型起到重要的辅助作用,大大提高学生的空间想象力。

4、“分形”咖啡桌
分形图形极不规则、分布不均,但在各种放大和缩小的尺度上都有着近乎相似的形状。利用增材制造设备制造的分形咖啡桌由一个树状的分形图案构成,它既有艺术美和数学内涵,又有实际使用价值。

5、医疗行业
现代社会中,人们不断地探索外科整形、关节置换、心脏瓣膜更新、具有奇效的维生素补充剂与护肤霜。3D打印技术也许可以终止这些探索,打印所需的身体部位将帮助那些需要器官移植或已失去关节的人。



3D打印的假肢
一位 83岁的老人由于患有慢性的骨头感染,因此换上了3D打印机“打印”出来的下颚骨,这是世界上首位使用3D打印产品做人体骨骼的案例。

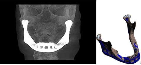
6、定制化上颌骨替代物修复窦腺癌引起的骨缺损
某右上颌窦腺癌患者肿瘤切除手术后,面中1/3畸形并且复视明显。西安交通大学口腔医院根据病人的缺损形状与大小利用增材制造技术设计并制造了人工钛上颌骨。该替代物与病人的缺损区域配合良好,术后颜面畸形得以纠正,复视症状消失。

7、定制化膝关节修复骨癌引起的股骨远端缺损
一个14岁小男孩被诊断为右股骨下段骨肉瘤术后复发。考虑到年轻患者的生长的需要,医院利用增材制造技术为病人定制一个单膝关节替代物。手术一周后,病人可以缓慢行走。12月后,该患者关节功能恢复良好。

定制化颅骨替代物修复颅骨缺损
第四军医大学口腔医院为一位因车祸导致颅骨缺损的男性患者植入利用增材制造技术制造的颅骨修复钛板。术后患者形态美观,恢复良好。

8、个性化义齿3D打印
华中科技大学为一位老人定做义齿修复体以达到恢复咀嚼功能的目的。传统制造工艺需要大量技术熟练的义齿技工才能完成,并且需要一周以上的时间。利用激光选区熔化增材制造的义齿的金属基冠全部由设备自动完成,无需熟练技工,也为患者医治节省了大量时间。

9、仿生人工肝组织
西安交通大学根据自然肝脏的血管网络的结构与尺寸设计人工肝组织支架内部的微管道系统,然后利用3D打印制造出仿生的人工肝组织支架,用于构建大尺寸人工活性肝组织研究。下图为根据自然肝脏血管网络设计与制造的仿生肝组织支架微管道。

10、癌细胞三维结构体的3D受控组装(细胞3维打印)
二维平面培养细胞模型缺乏体内三维细胞微环境的特征,而动物细胞模型缺乏人体特异的响应能力。细胞受控组装技术可以根据设计的结构,可控地组装生物材料和细胞单元,高效地构建大尺寸非均质(多细胞)体外仿生结构体。下图为清华大学研制的多细胞组装机及打印的癌细胞三维结构体。

11、考古和文物保护
美国德雷塞尔大学的研究人员通过对化石进行3D扫描,做出了适合研究的3D模型。


史密森尼博物馆因为原始的托马斯•杰弗逊要放在弗吉尼亚州展览,于是博物馆用了一个巨大的3D打印替代品放在了原位置。

根据 Wired 的报道,研究员 Greene 和 Aja 利用 3D 打印机成功恢复了一个在 3000 年前被打碎的瓷器狮子。 他们拍摄了瓷器的碎片,并对碎片制作 3D 模拟图,然后将其整合,做出了原物的3D模拟图,再将模拟图与同地发现的完整物品进行比对,将缺失部分以及支持结构打印出来。

12、影视产业
影视业很早就引入了3D打印技术来进行道具设计和制造。Legacy Effects特效公司使用Objet公司的3D打印机制作了1:5大小的《铁甲钢拳》中机器人的模型。

影片《十二生肖》中,利用3D打印技术快速的进行了兽首模型的1:1复制。



13、建筑业
Emily用一张1930年的明信片上的酿酒屋照片,利用增材制造技术,堆砌出了酿酒屋的建筑模型。

图1

图2

图3
为了充分发挥建筑师不拘一格、无与伦比的想象力,人们利用增材制造技术,设计、制造了许多异形建筑模型。



14、制造业
3D打印无论是在成本、速度和精确度上都要比传统制造好很多,并且3D打印技术本身非常适合大规模生产,所以3D技术给制造业带来很多好处,包括质量控制问题。


15、变废为宝,绿色环保打印
3D打印船是由高密度聚乙烯塑料制成牛奶盒打印出来的,它的成功证明了可回收牛奶盒可以回收利用并打印成真正有用的物品。



16、航空航天
下图这个金属飞机零部件由计算机程序设计,并使用3D金属打印技术制作。后面的是旧版本,前面新版本进行了优化,重量减轻,同时保持原有的强度和其他关键性能。

2009年,北京航空航天大学王明华团队利用激光快速成形技术制造出大型客机C919的主风挡窗框。据了解,这使中国成为迄今国际上唯一实现激光成形钛合金大型主承力关键构件在飞机上实际应用的国家。

17、配件饰品
饰品的传统加工方法不仅浪费材料,而且工艺复杂,成本高。激光选区熔化和电子束选区熔化工艺是“增材制造”,它适合于加工形状复杂的饰品,不仅节约材料,而且节能环保。




18、汽车制造
英国《每日邮报》2011年9月23日报道,世界上第一辆“3D打印汽车”在加拿大亮相。2013年2月,Urbee 2混合动力面世,全部零部件来自3D打印。


19、食品产业
2013年情人节前夕,日本的一家3D体验馆举办教人们制作情人巧克力的活动。首先3D扫描面部表情,然后做出3D巧克力打印的原型模型,再用原型来制作巧克力模子,之后就可以将巧克力注入模子里了。

20、曲奇饼干
布兰登最初的研究目标是打印出可生物降解的组织框架。由于布兰登使用蟹壳粉打印失败,导致他最终选择了食盐、面粉、糖、黄油和水作为原料。于是布兰登就意外的打印出了曲奇饼干。

21、3D打印合成食品
有两种方法可以实现3D打印合成食品,一种是:将食材糊然后3D打印成新形状。第二种是:将基本化学材料糊混合,用数字食谱将原食材3D打印成“真实食物”的复制品。


三、3D打印未来
2013年科学美国人将“三维打印技术步入实用阶段”作为2012年十大科学新闻。认为三维打印技术将在制造业和科研领域引发一场革命。
1、航空航天
美国航空航天局(NASA)正在研究用增材制造技术制造出更方便廉价的火箭关键部件。据NASA预测,打印的零件最快2017年上天。

用3D打印技术制作的液氧/氢气火箭喷射器
2、生物医疗
越来越多的人希望通过医疗手段治愈疾病,甚至对病变器官进行植入和更换。将来,人们将有可能直接采用增材制造的生物器官进行移植。下图为人类打印出的第一颗心脏。

3、大型建筑
近日荷兰建筑事务所Universe Architecture,英国伦敦的Softkll Design 建筑设计工作室和美国的DUS 建筑事务所分别计划采用大型3D打印机创造一座“没有起点也没有终点”的莫比乌斯带观景平台(图a),一个怪异的像蜘蛛网式构件的悬臂房屋(图b)。

4、集成电路
信息化时代离不开集成电路,超大规模三维集成电路的发展决定了信息化时代的步伐。未来的增材制造技术,将可在制造过程中灵活实现多种材料在宏观、微观、纳观甚至原子尺度上的任意复合和内部结构任意控制,这使得超大规模三维集成电路的增材制造将成为可能。美国OPTOMEC公司采用增材制造技术制造的三维集成电路和集成控制电路的无人机机翼,其中空间互联电路采用金属银、金等的纳米粉打印。
猜你喜欢
美好景象,和你一起留下美好影像!
159
四川已构建完整农业综合行政执法体系
219
凝心聚力开新局——2025年全国两会巡礼
197
深圳亚太传媒股份有限公司
189
饱受质疑的农业众筹,该怎么玩?
143
农民日报 | 海南豇豆“拉网”记
232
河南招聘//河南大张实业有限公司招聘
120
屠光绍:上海打造科创、金融“双中心”需构建新的桥梁
136
坪山高新区布局高端制造业集群
170
促进西部地区农业高质量发展
96
企业借力政策与资本“双翼”做大做强 梯度培育激活万千中小企业创新引擎
最强性能入门单反 佳能550D全国首发评测
入门单反新宠来袭 佳能EOS 1500D/EOS 3000D评测
濮阳市2021年“中国农民丰收节”在清丰单拐隆重举办
大棚里的“洋专家”
科技部等部门公布新版《科学技术研究档案管理规定》
2023数码总结丨我的10款年度爱用软件
松山湖创新强磁力:打造科技创新品牌赛事,加速海内外优质资源集聚
上海科技园区案例
京东双11手机排名出炉!苹果霸榜,小米成国产手机销量冠军



